GIẢI PHÁP NHA KHOA CHUYÊN SÂU TẠI NHÀ
Chất lượng hơi thở sau trồng răng Implant là điều nhiều người thắc mắc và [...]
Chăm sóc vệ sinh miệng đúng cách chính là những viên gạch vững chắc trong [...]
Nước súc miệng chứa Fluoride là một sản phẩm có nhiều lợi ích cho sức [...]
Đau khi mọc răng khôn là một tình trạng phổ biến mà nhiều người trải [...]
Tình trạng viêm chân răng thường gây khó chịu và việc ăn uống và giao [...]
Nhiễm trùng chân răng có thể gây ra sự đau đớn khó chịu và ẩn [...]
Răng trắng và sáng là một phần của việc chăm sóc ngoại hình. Một nụ [...]
Vấn đề về áp xe răng luôn là mối lo sợ của nhiều người với [...]
Sưng nứt lợi mọc răng ở trẻ thường là một trạng thái phổ biến. Khi [...]
Xuất hiện mụn nước trong miệng là tình trạng rất phổ biến, nó xuất hiện [...]
Nhiệt miệng nổi hạch là tình trạng không hiếm gặp, tuy nó là dấu hiệu [...]
Răng móm là tình trạng khớp cắn bị sai, gặp phổ biến trong nha khoa. [...]
Sún răng là tình trạng khá phổ biến ở trẻ, có thể để lại những [...]
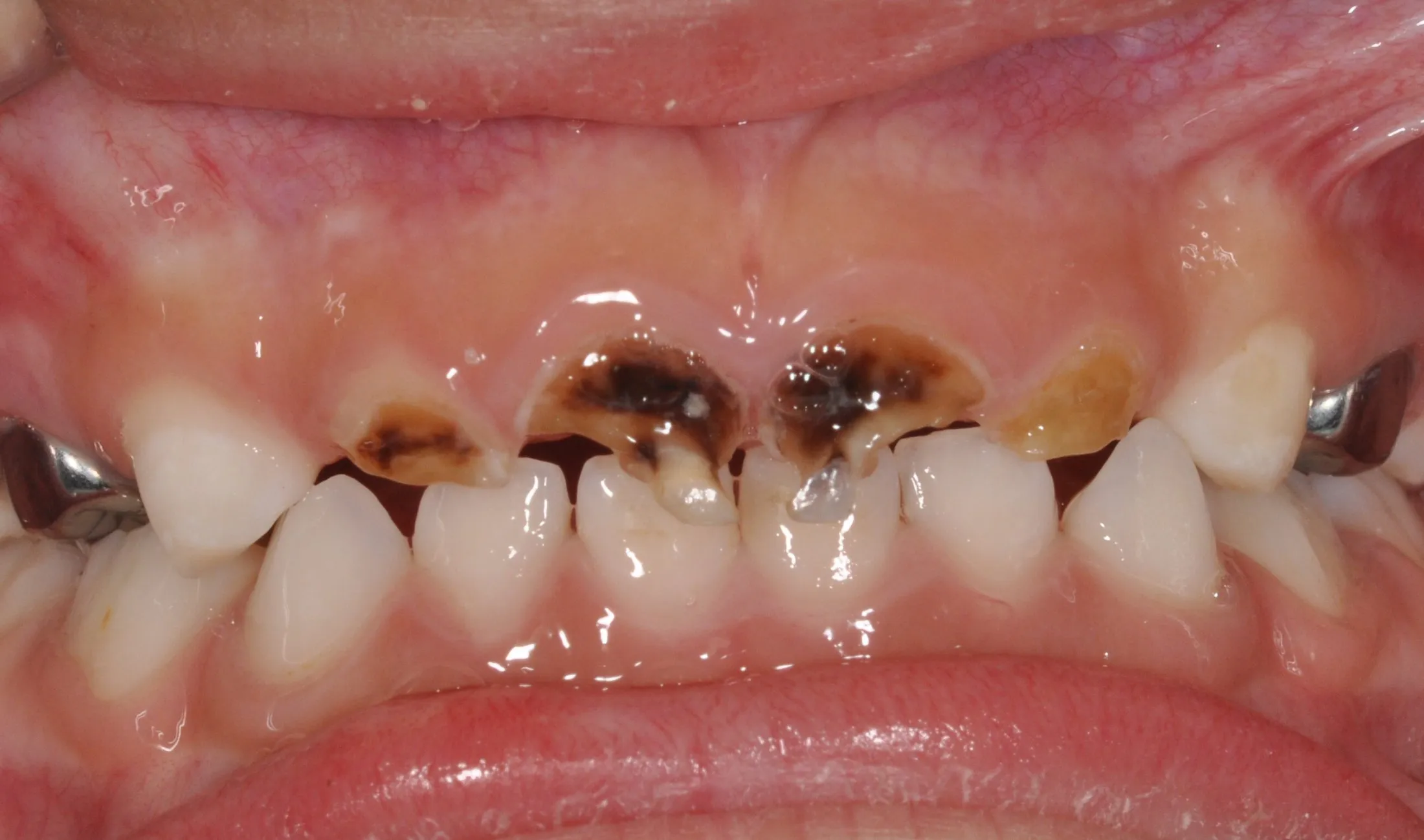
Răng sâu lồi thịt là dấu hiệu cảnh báo bệnh lý răng miệng đang ở [...]
Phụ nữ sau sinh nhận được nhiều lời khuyên từ ông bà ngày xưa và [...]
Cẩm nang nha khoa